Cosmetic Dentistry for a Confident Smile
A confident smile can change everything. At Smile Frisco in Frisco, TX, our cosmetic dentistry services—including whitening, veneers, bonding, and Invisalign—help transform your teeth into the smile you’ve always wanted.
Call
(214) 278-6111 or email
smilefrisco8715@gmail.com to schedule your cosmetic consultation today.
Why Choose Cosmetic Dentistry
Cosmetic dentistry is about more than just looks—it’s about creating a smile that reflects your personality and makes you feel good every day. At Smile Frisco, Dr. Kristi H. Moody, offers a wide range of cosmetic solutions designed to:
- Improve tooth color, shape, and size
- Correct chips, cracks, or small imperfections
- Enhance balance and symmetry in your smile
- Provide natural-looking, long-lasting results
We use modern techniques and advanced materials to ensure every cosmetic procedure blends seamlessly with your natural teeth.
Professional Teeth Whitening
Stained or discolored teeth can make your smile look older than it is. Our
professional teeth whitening treatments provide dramatic results compared to over-the-counter products. Whitening is safe, effective, and customized to your needs, helping you brighten your smile in just one visit. Patients in Frisco, TX, choose
Smile Frisco for whitening because we use advanced techniques that minimize sensitivity while maximizing results.
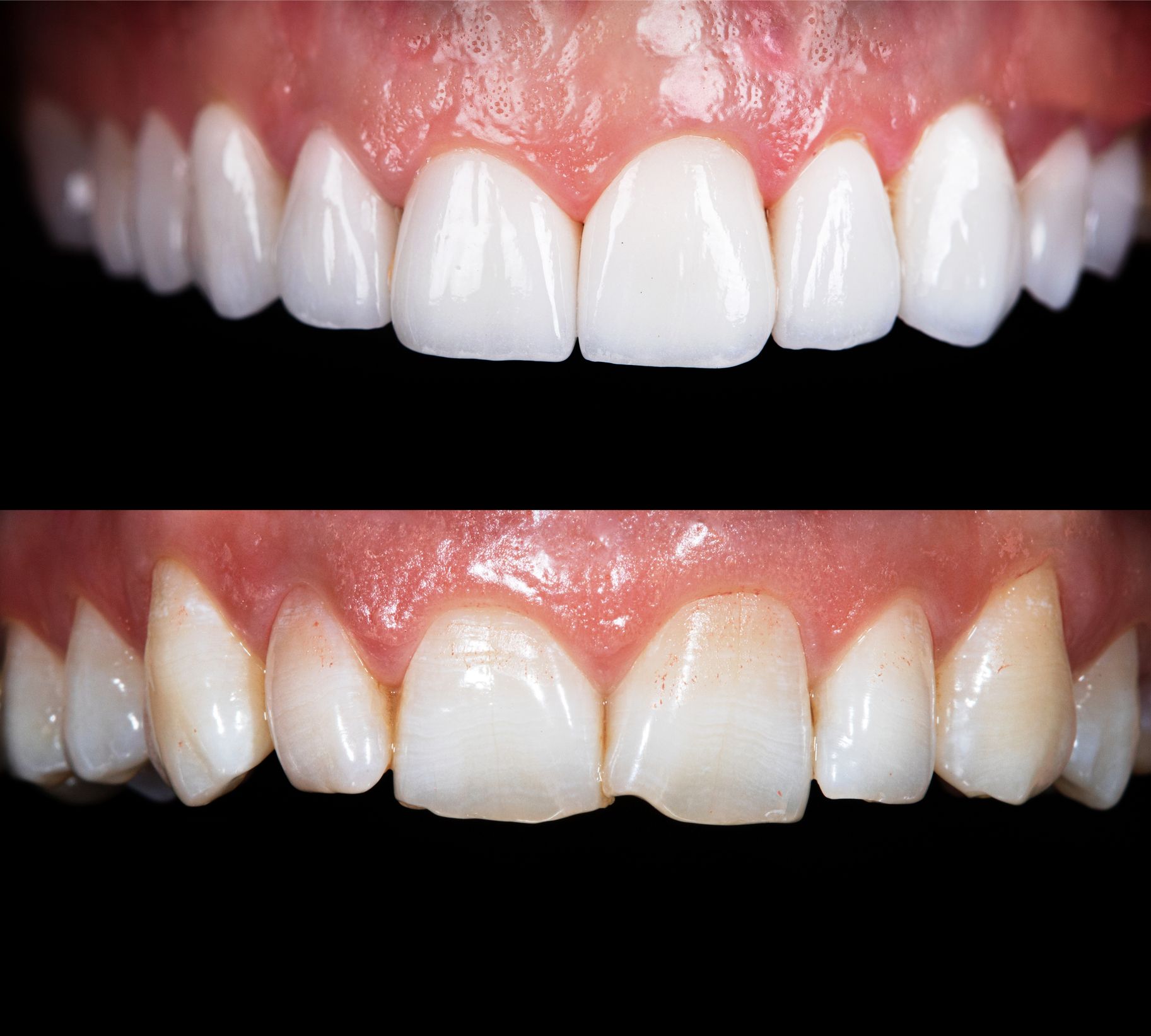
Porcelain Veneers for a PERFECT Smile
If you’re looking for a complete transformation, porcelain veneers are one of the most popular cosmetic solutions. Veneers are thin overlays of porcelain placed on the front of your teeth to correct issues such as:

Severe discoloration

Chips or cracks

Uneven teeth

Gaps or minor misalignment
Veneers are custom-made for each patient, providing a natural appearance and long-lasting durability. They are often referred to as a “Hollywood smile makeover” because of the instant transformation they provide.
Cosmetic Bonding for Minor Repairs
For patients who want a quick and affordable way to improve their smile, cosmetic bonding is a great option. Using a tooth-colored resin, bonding can correct small imperfections such as chips, cracks, or gaps. This procedure is minimally invasive and usually completed in a single appointment.
Orthodontic Treatment for Straighter Teeth
At
Smile Frisco, we understand that a straight smile is not only attractive but also healthier. Misaligned teeth can make cleaning difficult and increase the risk of gum disease or cavities. Our
orthodontic treatments include:
- Invisalign Clear Aligners: A modern alternative to braces, Invisalign uses nearly invisible trays to move teeth gently and effectively.
- Permanent Retainers: For long-lasting results after orthodontic treatment, retainers keep teeth in proper alignment.
With orthodontic care, patients benefit from improved confidence, better oral function, and reduced risks of dental issues.
Technology That Enhances Results
Cosmetic dentistry at Smile Frisco is supported by advanced technology to deliver precision and comfort. We use:
- Digital Impressions (iTero Scanner): No messy molds—just accurate, comfortable 3D scans.
- Digital X-Rays and CBCT Imaging: Providing a complete view for treatment planning.
- Invisalign Certified Provider Tools: Custom aligner planning for predictable results.
Our commitment to technology ensures your cosmetic treatments are efficient, comfortable, and long-lasting.
Benefits of Choosing Smile Frisco
When you choose Smile Frisco for cosmetic dentistry in Frisco, TX, you can expect:
- Personalized treatment plans tailored to your goals
- Natural-looking results that enhance your smile
- A comfortable, welcoming environment
- A dentist with advanced training and experience
We want every patient to leave our office with renewed confidence and a smile they are proud to share.
Frequently Asked Questions
Q: How long does teeth whitening last?
A: With proper care, results can last from six months to two years. Touch-ups may be needed depending on your diet and habits.
Q: Are veneers permanent?
A: Veneers are a long-term solution and can last 10–15 years with good oral hygiene and regular dental visits.
Q: Is Invisalign better than braces?
A: Invisalign offers discreet, comfortable, and removable aligners, making it an excellent option for many patients. However, traditional braces may be better for complex cases.
Q: Will cosmetic procedures hurt?
A: Most cosmetic dentistry treatments are minimally invasive and performed with patient comfort in mind. We also offer numbing and sedation options if needed.
Schedule Your Cosmetic Consultation Today
Your dream smile is just one appointment away. Whether you’re interested in
teeth whitening, veneers, bonding, or Invisalign,
Smile Frisco has the solutions to fit your needs.
Call us today at (214) 278-6111
or email
smilefrisco8715@gmail.com
to book your cosmetic dentistry consultation in Frisco, TX.
